Journal of Clinical Images and Medical Case Reports

ISSN 2766-7820
Short Report - Open Access, Volume 6

Biatrial cardiac mass and constrictive pericarditis in a post-tuberculosis survivor

Sravani Jakkireddy1 *; Subrata K Singha2 ; Gade Sandeep3 ; Swetha Yadavalli4 ; Lalam Naresh4

1Junior Resident, Department of Anaesthesiology, All India Institute of Medical Sciences, Raipur, India.

2Professor and Head, Department of Anaesthesiology, All India Institute of Medical Sciences, Raipur, India.

3DM Cardiac Anaesthesia, Department of Anaesthesiology, All India Institute of Medical Sciences, Raipur, India.

4Junior Resident, Department of Anaesthesiology, All India Institute of Medical Sciences, Raipur, India.

*Corresponding Author : Sravani Jakkireddy
Junior Resident, Department of Anaesthesiology, All India Institute of Medical Sciences, Raipur, India.
Email: sravanijakkireddy115@gmail.com

Received : Dec 24, 2024

Accepted : Jan 14, 2025

Published : Jan 21, 2025

Archived : www.jcimcr.org

Copyright : © Jakkireddy S (2025).

Citation: Jakkireddy S, Singha SK, Sandeep G, Yadavalli S, Naresh L. Biatrial cardiac mass and constrictive pericarditis in a post-tuberculosis survivor. J Clin Images Med Case Rep. 2025; 6(1): 3432.

Case presentation

A 39-year-old, male presented with complaints of chest discomfort, fatigue, exertional dyspnea, hemoptysis, ascites, pedal oedema, and yellowish urine discolouration in the past 6 months. The patient was status post pulmonary tuberculosis, with treatment completed. On evaluation with a transthoracic echocardiogram, he was diagnosed with constrictive pericarditis with a left atrial mass suggestive of myxoma. The patient was posted for total pericardiectomy with left atrial mass excision. In the operating room, after a careful induction of the patient, a transesophageal echocardiogram probe was inserted. TEE examinations showed constrictive pericarditis with a thickness of around 24 mm and showed a mass in both the right and left atrium (Figures 1-3).

Pre-Op TTE findings:

Pericardium: Thickened
TAPSE – 12 mm
IVC: Dilated
Annulus reversus: Positive
Septal bounce: Positive
Large mass – 16 x 40 mm
Left ventricular ejection fraction – 62%

Post-induction TEE findings:

Pericardium: Thickened (24 mm)
TAPSE: 14 mm
IVC dilated: 2.5 cm
Annulus reversus: Present
Septal bounce: Present
Left atrial mass: 14 x 32 mm
Right atrial mass: 12 x 30 mm, adhered to the free wall of RA, missed on TTE
Left ventricular ejection fraction: 59%

Histopathology

Macroscopic examination – Solid, nodular, soft, friable mass

Microscopic examination of mass – Caseous necrosis, inflammatory infiltrates suggestive of tuberculoma.

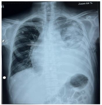
Figure 1: Chest X-ray PA view showing cardiomegaly with enlarged cardiothoracic ratio. The left upper lobe shows fibrotic changes post-pulmonary tuberculosis.

Figure 2: TEE image showing thickened and calcified pericardium. Mass is seen in both right and left atrium.

Figure 3: Surgical image showing thickened pericardium measur- ing around 24 mm.

Discussion

Tuberculosis is one of the most common diseases among developing nations and can affect any organ or system in the body. Approximately 60% of the patients with tuberculosis have a cardiovascular sequelae like pericarditis, myocarditis, aortitis, coronary artery disease, and intracardiac tuberculoma [1]. Tuberculous pericarditis is a major cause of pericardial disease globally with an incidence of 1-2% [2]. Dry, effusive, adsorptive, and constrictive are its four stages of presentation. Patients’ symptoms might range from an asymptomatic state to severe conditions such as atrioventricular blocks, long QT syndrome, ventricular arrhythmias, congestive heart failure, and sudden death. The mechanism consists of visceral pericardial thickening which leads to constriction, and the pressure of pericardial fluid may lead to cardiac tamponade. A pericardiectomy is warranted in the setting of persistent constrictive pericarditis despite antitubercular therapy [3]. In our patient, the pericardial thickness was 24 mm with the patient presenting with right heart failure symptoms. Intracardiac tuberculoma is a rare condition that is typically identified during an autopsy and only a few cases have been documented to date. Tuberculoma most commonly occurs in the right heart and spares the left atrium and ventricle [4]. It can be asymptomatic or present with right ventricular outflow tract obstruction, superior vena cava obstruction, coronary artery occlusion, ventricular arrhythmia, dysfunction, rupture, aortic insufficiency or regurgitation, complete heart block, or sudden cardiac death, pulmonary vein obstruction as a result of left atrial mass lesions, left ventricular aneurysm [5]. Occasionally cardiac tuberculoma erodes the parenchyma leading to the formation of an ulcer, which in turn results in the formation of a thrombus and embolism [6]. In our case, there were both right atrial and left atrial masses with multi-nodular surfaces, soft and friable in consistency. The histopathology findings were suggestive of tubercular granuloma. Although rare, it is vital to be familiar with the cardiac sequelae in patient’ status post tuberculosis. The diagnosis remains challenging due to the rare manifestations and timely diagnosis and management is necessary in these cases.

References

  1. Marcu DTM, Adam CA, Mitu F, Cumpat C, Onofrei VA, et al. Cardiovascular Involvement in Tuberculosis: From Pathophysiology to Diagnosis and Complications-A Narrative Review. Diagnostics. 2023; 13(3): 432.
  2. Ntsekhe M, Shey Wiysonge C, Commerford PJ, Mayosi BM. The prevalence and outcome of effusive constrictive pericarditis: a systematic review of the literature. Cardiovasc J Afr. 2012; 23(5): 281-5.
  3. Tuberculous pericarditis-UpToDate [Internet]. 2024. https:// www.uptodate.com/contents/tuberculous-pericarditis#H7.
  4. Jagia P, Gulati GS, Sharma S, Goyal NK, Gaikwad S, et al. MRI features of tuberculoma of the right atrial myocardium. Pediatr Radiol. 2004; 34(11): 904-7.
  5. Chang BC, Ha JW, Kim JT, Chung N, Cho SH. Intracardiac tuberculoma. Ann Thorac Surg. 1999; 67(1): 226-8
  6. Lema AS. Cardiac Tuberculoma Presenting as Sudden Cardiac Death in an Immunocompetent Young Man: A Case Report and Literature Review. Case Rep Cardiol. 2023; 2023(1): 2207204.