Journal of Clinical Images and Medical Case Reports

ISSN 2766-7820
Case Report - Open Access, Volume 6

Sheehan syndrome: A case report

Ouahmane kaoutar¹*; Khaleq Khalid2

1Department of Medicine, Ibn Rochd University, Morocco.

2Department of Anesthesiology and Intensive Care, Faculty of Medicine and Pharmacy, University Hassan 2 Casablanca, Morocco.

*Corresponding Author : Ouahmane Kaoutar
Department of Medicine, Ibn Rochd University, Morocco.
Email: ouahmanekaoutar.63@gmail.com

Received : Dec 26, 2024

Accepted : Jan 16, 2025

Published : Jan 23, 2025

Archived : www.jcimcr.org

Copyright : © Kaoutar O (2025).

Abstract

Sheehan syndrome or postpartum hypopituitarism is a condition characterized by necrosis of the pituitary gland leading to hormones deficiency. Severe postpartum haemorrhage is the most common cause for the development of Sheehan syndrome. Pituitary gland enlargement, small sella turcica size, vasospasm, thrombosis, and coagulation abnormalities are among predisposing factors for restricted pituitary blood supply. The diagnosis of Sheehan syndrome is not always apparent in immediate postpartum. Symptoms may not present until months to years after delivery. The first and most common symptom of Sheehan syndrome is agalactorrhea with hyponatraemia being the most observed electrolyte abnormality. Pituitary MRI is the imaging of choice for differential diagnosis. A partially or completely empty sella turcica point out the diagnosis of Sheehan syndrome. Management is based on lifelong hormone replacement therapy.

Citation: Kaoutar O, Khalid K. Sheehan syndrome: A case report. J Clin Images Med Case Rep. 2025; 6(1): 3437.

Introduction

Sheehan syndrome, also called post-partum pituitary necrosis, refers to the necrosis of cells of the anterior pituitary gland following significant post-partum bleeding, hypovolemia, and shock [1]. The posterior pituitary function is usually not affected. However, diabetes insipidus can occur, but it is a rare manifestation of Sheehan syndrome [2].

heehan syndrome is rare in developed countries due to advanced obstetrical practices whereas the incidence could be as high as five patients out of 100,000 births in developing and low-income countries

Case history

A 38-year-old female presented to the Emergency Medicine Department (EMD) with six days history of high-grade fever, headache, generalized body ache, and one episode of non-bilious vomiting (Day of Illness, DOI-7). On presentation she was conscious, oriented, febrile, heart rate 110/min, Non-Invasive Blood Pressure (NIBP) 90/60 mmHg, warm peripheries, and one episode of scanty bleeding from gums. All the routine tests were done, a complete hemogram showing hemoglobin of 13.4 g/dl, total Leucocyte count of 6,300/mm3 , and severe thrombocytopenia (12,000/mm3 ). Hepatic and renal function test results were within normal limits. Tropical fever workup (Malaria parasite, Malaria antigen, Dengue NS1, Dengue IgM, Scrub typhus IgM, Leptospira IgM) was done and Dengue NS1 antigen was reactive. She had received conservative treatment in form of oral acetaminophen and oral fluids. Within the next few hours, she had dulled aching abdominal pain. She went into circulatory shock; her heart rate was 144/min, NIBP of 72/40 mmHg, conscious, oriented, febrile, warm peripheries, respiratory rate of 22-25/min and urine output decreased (30-40 ml/hour). Repeat platelet count fell to 8,000/mm3 and she was transfused with 3 units of random donor platelet. She was shifted to the Intensive Care Unit (ICU) for further management and given vasopressors (Injection Noradrenaline infusion @ 0.14 μg/kg/min) to maintain the mean arterial pressure of 65 mmHg, oxygen support, and antibiotics because of persistent fever and shock. Though her fever and urinary output gradually improved, the shock was persistent for more than 3 days.

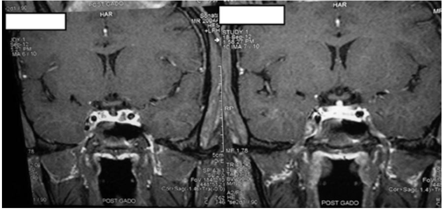
Though her fever and urinary output gradually improved, the shock was persistent for more than 3 days. After ruling out sepsis (TLC 6,000/mm3 , procalcitonin 0.01 ng/ml, sterile blood, and urine cultures), considering her history of amenorrhea (for 9 years) with suspicion of panhypopituitarism, her random cortisol level was sent and found to be abnormal (1 pg/dl). Following which thyroid and other hormonal statuses were sen which were found to be abnormal (free T4 0.50 ng/dl, T3 19.47 ng/dl, TSH-1.24 IU/L, growth hormone < 0.03 ng/ml, prolactin 214 ng/ml, LH 3.21 IU/L, FSH-0.12 IU/L). With the diagnosis of panhypopituitarism, she was started on injection of hydrocortisone 8 mg/hour on DOI-11 (for 3 days) and then tapered off and changed to oral prednisolone with oral thyroxine 50 μg/day tablet according to the endocrinology consultation. Her BP improved and vasopressor (noradrenaline) was tapered off within one day after starting the injection of hydrocortisone. She was discharged on oral prednisolone (10 mg at 8 am, 7.5 mg at 4 pm) and thyroxine (50 micrograms) in good general condition and recovering thrombocytopenia (100,000/mm3 ). In followup, Magnetic Resonance Imaging (MRI) showed an empty sella (Figure 1).

Figure 1: Magnetic Resonance Imaging (MRI) T1 Sagittal section, arrow showing sella filled with Cerebrospinal Fluid (CSF), suggestive of empty sella.

Figure 2: Coronal sections of MRI of the brain and pituitary also revealed small pituitary gland with enhancing infundibular stalk.

Discussion

Sheehan’s syndrome was first described by Sheehan in 1937 [4]; through improved management of hemodynamic complications, its incidence has gradually declined over time. Although the exact incidence is unknown and it rarely occurs in modern obstetric practices, Sheehan’s syndrome still must be considered in cases of PPH. Sheehan’s syndrome is pituitary necrosis after PPH and hypovolemia and occurs in 1-2% of women who lose 1-2 L of blood with associated hypotension [5,6]. Several studies have shown that the latent period between symptoms and postpartum hemorrhage can be several years in Sheehan’s syndrome [2,4,7]. For example, in 1999, Banzal et al. reported significant delays between symptom onset and postpartum hemorrhage, with only two patients diagnosed within a year, 20 patients that were symptomatic for over 6 years before diagnosis, and appropriate treatment [7]. Symptoms that first occur within 6 weeks postpartum are defined as acute Sheehan’s syndrome in this report because the postpartum period is commonly identified as 6 weeks after delivery. Our patient presented in the febrile phase with severe thrombocytopenia, hemoconcentration and clinical features suggestive of compensated shock. Anticipating bleeding, a pre-emptive transfusion of platelets was given in EMD. Nine years back she had undergone a cesarean section and intraoperative events (hypotension) may have led to the development of SS in the immediate postpartum period evidenced by the failure of lactation and subsequent amenorrhea. SS is one of the common causes of hypopituitarism in developing countries and is often diagnosed late. SS differential diagnosis includes pituitary tumor and lymphocytic hypophysitis is to be ruled out with the help of MRI [7]. MRI scan is the most sensitive test for investigating the hypothalamopituitary region. In the early stages, the pituitary can be large, and gradually atrophies, ultimately resulting in empty sella (Figure 1). Early recognition and prompt hormone replacement prevent morbidity. Late manifestations include characteristics of genital and axillary hair loss, reduced bone mineral density, signs of dry skin, pallor, and other evidence of hyponatremia, diabetes insipidus, and hypoglycemia [8]. Reports of panhypopituitarism secondary to pituitary necrosis resembling Sheehan’s syndrome are reported following severe dengue infection [9]. Postulated mechanisms of hypopituitarism post-dengue in our subject could be, a) subclinical Pituitary Apoplexy (PA) of a normal pituitary gland; b) ischemia of a normal pituitary gland secondary to hypotension; and c) necrosis of the pituitary gland secondary to direct cytopathic effect of the dengue virus [10]. In a literature search of the words ‘dengue’ and ‘panhypopituitarism’, we found five similar cases. Four case reports were of the variable period of dengue infection (from one week to six years) [9,10, 12,13]. Only one case described unmasking of panhypopituitarism after dengue infection similar to our case [11]. Here we are summarizing the similar case reports published. A 59-yearold male was readmitted after 2 weeks of recovery from dengue with chief complaints of disorientation and fall. Diagnosis of panhypopituitarism was made on laboratory and radiological findings and the proposed mechanism, in this case, was infarction of the pituitary due to hypotension [11]. A 49-year-old female was admitted with easy fatigability and postural hypotension and was diagnosed with panhypopituitarism. A 33-yearold female with 36 weeks of pregnancy diagnosed with dengue with SS was diagnosed post-operatively with low levels of the hormonal assay, the proposed mechanism, in this case, was an ischaemic insult to the pituitary during parturition postulated to be a factor in the pathogenesis of SS [9]. A 42-year-old female diagnosed with primary acute dengue with acute pancreatitis was discharged after conservative treatment and readmitted with loose stools and hyponatremia. Further history revealed, that she had amenorrhea and lactation failure after the third delivery which was complicated by post-partum hemorrhage. Diagnosis of secondary panhypopituitarism was made and the proposed mechanism was pituitary infarction [11]. In the last case, low platelet counts due to dengue hemorrhagic fever had caused pituitary adenoma apoplexy. Under this condition, the patient may present with a sudden loss of vision with a headache. MRI of the brain should be done and pituitary hormone levels should be checked to rule out pituitary apoplexy [13].

Conclusion

In summary, we report a rare case of Sheehan’s syndrome in a woman with early symptoms of life-threatening seizures, coma, and respiratory failure. After an initial resuscitation and treatment for PPH, the symptoms of Sheehan’s syndrome significantly improved with appropriate hormone replacement treatment. Although healthcare providers should be aware of the possibility of Sheehan’s syndrome that occurs several years postpartum complicated by PPH, they should also consider the possibility of acute presentations of Sheehan’s syndrome.

References

  1. 1-Olmes GL, Solomayer EF, Radosa JC, et al. Acute Sheehan’s syndrome manifesting initially with diabetes insipidus postpartum: a case report and systematic literature review [J]. Arch Gynecol Obstet. 2022; 306(3): 699e706.
  2. Makharia A, Lakhotia M, Tiwari V, et al. Recurrent hypoglycaemia and dilated cardiomyopathy: delayed presentation of Sheehan’s syndrome [J]. BMJ Case Rep. 2021; 14(6)
  3. Schury MP, Adigun R. Sheehan Syndrome. PubMed. 2021. https://www.ncbi.nlm.nih.gov/books/NBK459166/.
  4. Wang CZ, Guo LL, Han BY, Su X, Guo QH, Mu YM. Pituitary Stalk Interruption Syndrome: From Clinical Findings to Pathogenesis. Journal of Neuroendocrinology. 2017; 29(1). doi: https://doi. org/10.1111/jne.12451.
  5. Karaca Z, Laway BA, Dokmetas HS, Atmaca H, Kelestimur F. Sheehan syndrome. Nature Reviews Disease Primers. 2016; 2(1): 1-15. doi: https://doi.org/10.1038/nrdp.2016.92.
  6. Matsuzaki S, Endo M, Ueda Y, et al. A case of acute Sheehan’s syndrome and literature review: a rare but life-threatening complication of postpartum hemorrhage [J]. BMC Pregnancy Childbirth. 2017; 17(1): 188.
  7. Diri H, Karaca Z, Tanriverdi F, et al. Sheehan’ssyndrome: Newinsightsintoanold disease [J]. Endocrine. 2016; 51(1): 22e31.
  8. Keleştimur F. Sheehan’s Syndrome. Pituitary. 2003; 6(4): 181- 188. doi: https://doi.org/10.1023/b:pitu.0000023425.20854.8e.
  9. Matsuwaki T, Khan KN, Inoue T, Yoshida A, Masuzaki H. Evaluation of obstetrical factors related to Sheehan syndrome. Journal of Obstetrics and Gynaecology Research. 2013; 40(1): 46-52. doi: https://doi.org/10.1111/jog.12119.
  10. icli F, Dokmetas HS, Acibucu F. Sheehan’s syndrome. GynecologicalEndocrinology. 2012; 29(4): 292-295. doi: https://doi.org /10.3109/09513590.2012.752454.